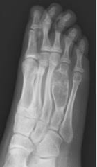
What Does Bone Cancer In The Foot Look Like - Giant Cell Tumor Foot And Ankle Bonetumor Org / Bone cancer is rare, making up less than 1 percent of all cancers.
Dapatkan link
Facebook
X
Pinterest
Email
Aplikasi Lainnya
What Does Bone Cancer In The Foot Look Like - Giant Cell Tumor Foot And Ankle Bonetumor Org / Bone cancer is rare, making up less than 1 percent of all cancers.. Primary bone tumors are relatively rare after the fourth decade of life and less frequent as compared to secondary bone tumors. The scc does not retain its appearance as a solid mass. Cancer that arises from the jaw bone is termed primary jaw cancer. Bone tumors are more often caused by cancer that has spread to the bone from some other part of the body. Or, the cause of a symptom may be a different medical condition that is not cancer.
Bone cancer can begin in any bone in the body, but it most commonly affects the pelvis or the long bones in the arms and legs. Primary refers to cancer that starts in the bone versus spreading (metastasizing) into the bone from somewhere. Whether primary or metastatic, cancer in the bones may present with symptoms such as increasing pain, swelling and/or a more sudden intense pain from a pathologic fracture —a fracture that occurs in a bone that has been weakened by the presence of tumor. Foot or toe cancer (digital and soft tissue cancer), which can include squamous cell carcinoma, melanoma, osteosarcoma, mast cell tumor, and malignant soft tissue sarcoma is common in dogs. In fact, noncancerous bone tumors are much more common than cancerous ones.
Bone Pain Causes Cancer Symptoms And Treatment from post.medicalnewstoday.com It can look like a: Foot or toe cancer (digital and soft tissue cancer), which can include squamous cell carcinoma, melanoma, osteosarcoma, mast cell tumor, and malignant soft tissue sarcoma is common in dogs. Squamous cell carcinoma is the most common form of cancer on the skin of the feet. Bone cancer begins in the bone instead of developing due to cancer cells spreading from other parts of the body. Sometimes, people with bone sarcoma do not have any of these changes. Your foot has typically thin soft tissue layer and gets continuous exposure to the outside environment. A benign bone tumor of the foot will manifest as a lump, with or without pain, whereas bone cancer is most often accompanied by pain at the location of the tumor. If the cancer develops in the legs, as it does in most cases, the usual course of treatment is amputation.
However, malignant cells can also spread to the jaw from other cancers in the neck and head, termed as secondary jaw cancer.
Aside from looking like a changing mole, a melanoma on the foot can appear as a: For instance, lung cancer that spreads to the bone is made of lung cancer cells. A type of bone cancer called osteosarcoma is the most common type of primary bone cancer in dogs, accounting for over 95% of all bone tumors. Early on, the pain may only occur at night, or when you are active. The scc does not retain its appearance as a solid mass. Jaw cancer results in pain in the area with difficulty in opening the mouth. Bone pain can cause a dull or deep ache in a bone or bone region (e.g., back, pelvis, legs, ribs, arms). Foot or toe cancer (digital and soft tissue cancer), which can include squamous cell carcinoma, melanoma, osteosarcoma, mast cell tumor, and malignant soft tissue sarcoma is common in dogs. People with bone sarcoma may experience the following symptoms or signs. However, you should still check your symptoms and talk to your doctor, as symptoms like bone pain, fractures, swelling, and fatigue can indicate cancer or another issue that needs to be treated. In fact, noncancerous bone tumors are much more common than cancerous ones. Malignant cells in the jaw tend to spread quickly to adjacent organs. Bone cancer is a fairly rare disease, so if you've developed bone pain, don't jump to conclusions.
The bone may look ragged, or it may appear to have a hole in it. Aside from looking like a changing mole, a melanoma on the foot can appear as a: Leg pain due to bone cancer may worsen during nighttime. Sometimes, people with bone sarcoma do not have any of these changes. A benign bone tumor of the foot will manifest as a lump, with or without pain, whereas bone cancer is most often accompanied by pain at the location of the tumor.
Life At Dearborn Congregational Lung Cancer Bone Cancer And Neuropathy Oh My from 64.media.tumblr.com Cancer that arises from the jaw bone is termed primary jaw cancer. Lumps, swellings, fractures, joint tenderness and pain are some common symptoms of bone cancer in ankle and foot. Aside from looking like a changing mole, a melanoma on the foot can appear as a: Sometimes, people with bone sarcoma do not have any of these changes. Bone cancer can weaken the bone it's in, but most of the time the bones do not fracture (break). It is important that all these symptoms are identified at an early stage so, to. For instance, lung cancer that spreads to the bone is made of lung cancer cells. This article will look at what bone metastasis is and its treatment options.
Primary bone tumors are relatively rare after the fourth decade of life and less frequent as compared to secondary bone tumors.
When a bone tumor grows, it presses on healthy bone tissue and can destroy it, which causes the following symptoms: Bone cancer can begin in any bone in the body, but it most commonly affects the pelvis or the long bones in the arms and legs. However, malignant cells can also spread to the jaw from other cancers in the neck and head, termed as secondary jaw cancer. Bone cancer is a fairly rare disease, so if you've developed bone pain, don't jump to conclusions. It may resemble a plantar's wart or a foot ulcer, and it may feel scaly. Rarely, the affected bone may weaken and break on its own. A tumor that has metastasized to bone is not made of bone cells. Leg pain due to bone cancer may worsen during nighttime. Primary bone tumors can be either benign or malignant. They work to destroy the tumor or slow down the growth of cancer cells. Aside from looking like a changing mole, a melanoma on the foot can appear as a: If the cancer develops in the legs, as it does in most cases, the usual course of treatment is amputation. However, you should still check your symptoms and talk to your doctor, as symptoms like bone pain, fractures, swelling, and fatigue can indicate cancer or another issue that needs to be treated.
Malignant cells in the jaw tend to spread quickly to adjacent organs. Your foot has typically thin soft tissue layer and gets continuous exposure to the outside environment. Primary refers to cancer that starts in the bone versus spreading (metastasizing) into the bone from somewhere. For instance, lung cancer that spreads to the bone is made of lung cancer cells. The bone may look ragged, or it may appear to have a hole in it.
Giant Cell Tumor Of Bone Orthoinfo Aaos from orthoinfo.aaos.org Malignant cells in the jaw tend to spread quickly to adjacent organs. Treatment for bone cancer in dogs can vary depending on which bones are affected. Rarely, the affected bone may weaken and break on its own. Local treatments focus on just the bone or bones where the cancer spread. For instance, lung cancer that spreads to the bone is made of lung cancer cells. Other types of bone cancer include chondrosarcoma, fibrosarcoma, and hemangiosarcoma. A type of bone cancer called osteosarcoma is the most common type of primary bone cancer in dogs, accounting for over 95% of all bone tumors. Bone pain can cause a dull or deep ache in a bone or bone region (e.g., back, pelvis, legs, ribs, arms).
Other diseases, like bone infections, can cause symptoms and imaging results that might be confused with bone cancer.
Other types of bone cancer include chondrosarcoma, fibrosarcoma, and hemangiosarcoma. Bone cancer is a fairly rare disease, so if you've developed bone pain, don't jump to conclusions. Primary bone tumors are relatively rare after the fourth decade of life and less frequent as compared to secondary bone tumors. When a bone tumor grows, it presses on healthy bone tissue and can destroy it, which causes the following symptoms: There are different types of primary bone cancers, like osteosarcoma and ewing sarcoma. Malignant cells in the jaw tend to spread quickly to adjacent organs. Jaw cancer results in pain in the area with difficulty in opening the mouth. What bone metastasis looks like. Cancer in the bones of the spine can press on nerves, causing numbness and tingling or even. People with a fracture next to or through a bone tumor usually describe sudden severe pain in a bone that had been sore for a few months. For instance, lung cancer that spreads to the bone is made of lung cancer cells. If the cancer develops in the legs, as it does in most cases, the usual course of treatment is amputation. Bone tumors of the foot are rare, comprising only three to six percent of all bone tumors, and are benign in 75 to 85 percent of cases (sarcoma, 2013).
Vor 2 tagen · this recipe requires only three ingredients and can be ready in about 10 minutes. 21.11.2020 · the screwdriver is a classic drink that has been designated an international bartender association official cocktail. 27.10.2021 · its smooth spice flavours mean you can channel your inner sea dog and drink it neat, while it also stands up to mixers. Choose classic cuban cocktails from the bar or join in with a cocktail making class and become a maestro of mixing. Light up the night with something special from the b&m selection of cheap spirits, including vodka, gin, rum, whisky, brandy and more. Kraken Rum Drink Recipe Kraken Rum Wikipedia from i2.wp.com Choose classic cuban cocktails from the bar or join in with a cocktail making class and become a maestro of mixing. Trewithen farm yoghurt, spiced pear & windfall apple com...
How To Make An Explosion Card : 291 10 Card Ideas For Explosion Box How To Make Explosion Box Pages How To Make Scrapbook P How To Make Scrapbook Handmade Scrapbook Birthday Card Drawing : This project is quite easy as long as you follow each step. . Using cardstock, adhesive, and a little creativity, you can create a paper box that reveals layers of fun photos and accents when you remove the lid. This is a smaller card but will still work well with a regular size envelope. Explosion boxes are a folded box that opens as you remove the lid, revealing pages of personalized photos, sayings and decorative trinkets. Explosion card tutorial step 1: Then, stand back and watch the soda shoot into the sky. If omitting, continue to step 3. <p><p>if you're looking to create a card for a momentous occasion, you can't go far wrong with this amazing exploding box card design. Score a piece of 7½x7½in cardstock at 2½ and 5in on both sides. Score a piece of 12x1...
How To Make A Pvc Id Card : 20packs X Pvc Id Card Making Supplies Material Blank Inkjet Print Pvc Sheets A4 Size 50sets White Color 0 76mm Thick Binding Machine Aliexpress / Bit.ly/chefstst in this tutorial we are going to show you how pvc id cards are made with inkjet. . How to find the right id card printer for you? Many business places have standardized id cards that serve a professional purpose. To change fonts or font styles and colors, highlight your text and make new selections from. Bit.ly/chefstst complete tutorial to make pvc fusing id cards using id card fusing. Design your id card online using idcreator's badge maker. ✓ get better faster easier way to make id cards. ☘jai गणेश print technology☘ our. Use custom templates to tell the right story for your business. Learn more about the different types of cards to make sure that you get the best out of your blank pvc cards, follow these steps Learn how to make id card/neck strap at home. ...
Komentar
Posting Komentar